Informativos.Net

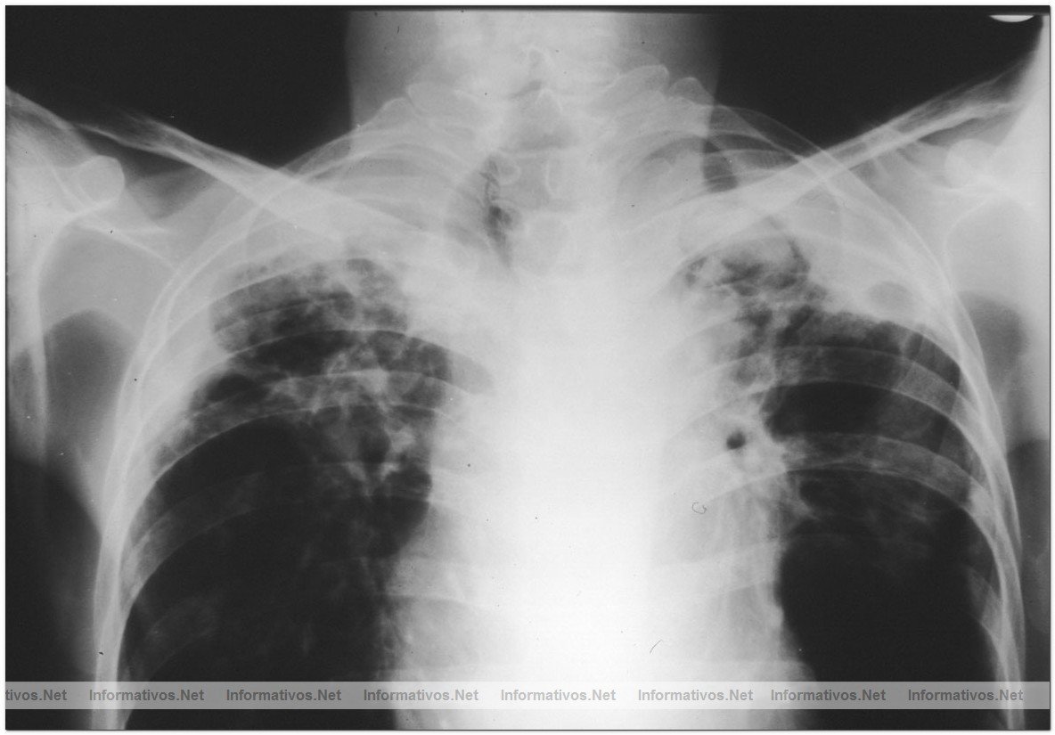
Barcelona forma parte de una investigación mundial contra la Tuberculosis, una enfermedad que afecta por lo general a los pulmones. La tuberculosis compromete otras partes del cuerpo, como el cerebro, los riñones o la columna vertebral. Si no se trata, la TB puede causar la muerte.
Barcelona forma parte de una investigación mundial contra la Tuberculosis, una enfermedad que afecta por lo general a los pulmones. La tuberculosis compromete otras partes del cuerpo, como el cerebro, los riñones o la columna vertebral. Si no se trata, la TB puede causar la muerte.

©Informativos.Net 1999-2010